WE'VE all been called "brainless" at some stage in our lives, but thankfully we never take such insults very seriously.
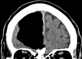
But we can only imagine the shock when a physician in Northern Ireland recently performed a cranial scan on his 84-year-old patient to find a large part of his brain missing.
Thankfully the doctor in this case wasn't dealing with a member of the undead - rather it turned out the patient had a pocket of air inside his skull called a pneumatocele (pictured).
This condition is commonly seen in patients who have facial trauma or infections, and no doubt finding out his brain hadn't gone AWOL after all was a major weight off this patient's mind.
When a nurse doesn't have much of a bedside manner it can be really tough to cope with for recuperating patients.
Well then spare a thought for a man in India who recently had his own leg used as a pillow to prop him up in bed.
The man was in hospital having his leg amputated at Maharani Laxmi Bai Medical College in Jhansi in India when medical staff deployed the particularly insensitive recycling practice.
Best not to ask for a shoulder to cry on at this point!
The above article was sent to subscribers in Pharmacy Daily's issue from 14 Mar 18
To see the full newsletter, see the embedded issue below or CLICK HERE to download Pharmacy Daily from 14 Mar 18
